|
|
-
HOME
> 사랑가득 클리닉
> 당뇨망막 클리닉
- 당뇨망막증이란?
- 종류
- 치료
- 환자의 주의사항
- 원내 치료장비
- 질문과 답변
-
망막은 시세포로 구성되며, 빛을 감지하여 시신경으로 시각정보를 전달해주는 기관입니다.
당뇨망막증은 눈에 장애를 초래하는 당뇨병의 합병증으로서, 안구의 후반부에서 망막의 영양을 공급하는 혈관에 이상이 생겨 발생합니다.
이렇게 약해진 혈관들은 삼출물이나 피를 누출시키고 국소적인 확장, 부서지기 쉬운 혈관신생 등의 이상을 나타냅니다.
수정체를 통해 들어온 빛은 망막에 상을 맺고, 시신경을 통해 뇌로 전달되는데, 망막에 피나 삼출물의 누출 혹은 염증이 있게 되면, 뇌로 가는 상은 흐릿하게 보이게 됩니다.
-
 |
 |
정상 망막 정상적인 시야 |
당뇨망막증 증상이 나타나는 환자의 시야 |
 |
 |
- ㆍ당뇨망막증의 특징
-
- 첫째, 당뇨병을 앓은 기간이 길고, 높은 혈당치가 오래 유지될 때 발생하지만, 일단 당뇨망막증이 발생하게 되면, 혈당치가 정상적으로 조절이 되어도 당뇨망막증은 호전되거나 회복되지 않고, 계속 진행되어 결국 악화됩니다.
- 둘째, 당뇨망막증의 발생률은 혈당치의 높고 낮음보다는 당뇨병을 얼마나 오래 앓았는가 하는 유병기간에 직접 관련이 있습니다. 즉, 5년 이하의 유병기간을 가진 경우에는 17%에서 당뇨망막증이 발견되지만, 10년 이상의 경우에는 27%에서 당뇨망막증이 나타나게 됩니다. 이들 당뇨망막증이 발견된 환자 중에는 본인이 당뇨병이 있는지 자각하지 못하고 몇 년을 보내는 환자가 많으며, 때때로 발견하고도 혈당조절 및 치료를 소홀히 한 환자에서 특히 발생률이 높다고 볼 수 있습니다. 30세의 당뇨병 환자를 기준으로 볼 때, 10년 후 50%에서 발생하고, 30년 후에는 90%에서 발생할 확률이 있습니다.
- 1. 비증식성 당뇨망막증
-
당뇨병으로 인한 모세혈관벽의 병변(기저막의 비후, 벽세포의 감소, 내피세포의 과도한 증식)으로 모세혈관이 좁아지고, 결국 폐쇄되어 망막 미세혈관의 순환장애가 나타납니다. 망막에 국소적으로 산소가 결핍되면, 혈액양이 증가하고 혈관벽의 투과성도 증가하여 삼출물과 혈액성분이 혈액에서 새어나오므로, 망막에 삼출반과 출혈반이 나타나게 됩니다.
이들 현상이 망막 주변부위에 나타날 때에는 시력에는 별다른 영향이 없으나, 중심부인 황반부에 부종이 생기면 초기부터 시력장애가 올 수 있고, 색각장애도 올 수 있습니다.
망막사진에서 황색으로 보이는 부위는 삼출물로서, 혈액에서 누출된 찌꺼기 성분이며, 망막에 체액성분이 배출되지 않고 고임에 따라 망막이 붓기도 합니다.
- 2. 증식성 당뇨망막증

-
당뇨망막증이 오래 지속된 경우, 많은 합병증이 발생할 수 있으며, 시력장애를 초래할 위험이 높아집니다.
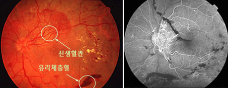
미세혈관 순환장애의 악화로 망막조직의 산소결핍이 진행되면, 그 부위에서 혈관 신생인자가 분비되어 시신경이나 다른 망막부위에서 신생혈관이 증식하게 됩니다.
신생혈관은 정상혈관보다 약하여 쉽게 출혈을 일으키는데, 가벼운 출혈이 일어나면 눈앞에 모기가 날아다니는 것 같은 비문증이 나타나지만, 출혈이 반복되고 악화되면, 유리체가 혈액으로 가득차서 시력이 떨어지며, 유리체 내의 섬유조직이 증식되어 망막박리 등의 증상도 초래하게 되어 결국 실명하게 됩니다.
심한 비증식성 당뇨망막증 환자의 15%에서 1년 후 증식성 망막증으로 이행할 가능성이 존재합니다.
-
당뇨병 환자는 안과의사와 내과의사가 긴밀히 협조하여 일생동안 정기적인 관찰, 검사, 치료에 임하여야 합니다. 당뇨병이 발견되면, 환자는 상식적인 자가치료에 의존하기보다는 내과전문의의 철저한 관리하에 정기적인 검사와 치료로 혈당을 조절하여 정상인의 상태로 유지하는 것이 중요합니다.
일단 당뇨병으로 진단되면 세밀한 안과적 검사가 필요합니다. 일반적인 안과검사 외에 안저검사, 망막의 혈관상태를 확인할 수 있는 형광안저 촬영술 등이 필수적이며, 검사결과가 정상이더라도 매년 한 번씩의 정기적인 검사를 필요로 합니다.
또한, 당뇨망막증이 발견되면 3~6개월마다 정기적인 안과 검사를 받아 그 정도와 시기에 맞는 치료와 처치를 받아야 합니다. 당뇨망막증의 치료에는 그 단계에 따라 내과적 치료, 레이저 광응고술, 수술적 치료를 시행하게 됩니다.
- 1. 비증식적 당뇨망막증
-
내과적으로 혈당을 정상으로 유지시키려는 노력이 필요합니다. 비록 당뇨망막증이 일단 발생하면, 자체적으로 진행한다고 하지만, 혈당이 높으면 당뇨망막증의 진행이 가속되므로, 당뇨망막증의 진행을 둔화시키는데 도움이 될 것입니다.
당뇨병을 앓은 기간이 5년 이내의 환자 중 혈당 조절이 잘 된 환자에서 당뇨망막증의 발생률은 7%인데 비해, 혈당치가 230mg/dL 이상으로 조절이 잘 안 된 환자에서의 당뇨망막증 발생률은 약 25% 정도로 높습니다. 그러나, 10년 이상인 환자에서는 혈당치와 상관없이 당뇨망막증의 발생률이 약 64~70% 정도로 별 차이 없이 나타납니다.
또한, 당뇨 조절이 너무 과도하게 되어 가끔 저혈당이 생기게 되는 경우도 당뇨망막증을 악화시키므로, 저혈당도 조심해야 합니다.
- 2. 약물 치료
-
망막혈관벽이나 혈액성분에 작용하여 망막미세혈관 순환을 개선시키는 약물 등이 시도되고 있습니다.
- 3. 레이저 광응고술
-
당뇨망막증의 치료법으로 공인되어 널리 사용되는 방법입니다. 레이저 치료는 당뇨망막증의 진행을 막고, 그 당시의 시력을 유지시켜주는데 치료의 목적이 있습니다. 종종 치료 후 시력의 개선을 볼 수 있습니다만, 원래의 시력으로 회복시켜주지는 못합니다. 이 치료법에는 황반부 응고술, 국소 응고술, 범안저 광응고술 등이 있습니다.
황반부 응고술은 황반부 부종에 대해 바둑판 모양으로 응고시키는 방법입니다.
국소 응고술은 소동맥류, 경성삼출물, 국한된 망막신생혈관이나 모세혈관 폐쇄부위 등에 직접 광응고하는 것이며, 이들이 황반부 부종을 일으킬 염려가 있을 때 시행합니다.
범안저 광응고술은 황반부를 제외한 망막주변부를 전반적으로 응고하는 방법으로, 이는 혈관 신생을 억제하거나 소멸시켜 시력에 가장 중요한 황반부를 보호하기 위한 치료방법입니다. 이 때 발생할 수 있는 합병증인 황반부 부종, 시신경 유두부종, 시야협착 등을 최소화하기 위해서 주변부 망막을 3~4등분으로 구분하여 3~4회에 걸쳐 시행합니다.
-
 |
 |
| 레이저 광응고술 |
레이저 광응고술 후의 모습 |
- 4. 유리체 절제술
-

- 유리체 출혈로 유리체 절제술을 하는 모습
당뇨망막증의 치료를 제대로 하지 않았거나, 레이저 치료에도 효과를 보지 못하고 진행된 당뇨망막증으로 인하여 반복성 유리체 출혈이 생길 때, 수 개월 이상 유리체 출혈이 있을 때, 한쪽 눈이 실명되고 반대측 눈에 유리체 출혈이 생길 때, 견인성 망막박리가 있을 경우 등에 시행합니다.
유리체 출혈을 제거하고 망막박리를 재유착시켜야 하는데, 다행히 유리체 망막수술법과 수술도구의 발달로 비교적 진행된 증식성 당뇨망막증의 경우에도 약 반수에서 어느 정도의 시력개선을 볼 수 있으며, 증식성 당뇨망막증이 다시 진행하는 경우도 있으므로, 수술 후에도 계속 검진을 받아야 합니다.
- 5. 그 밖의 치료법
-

- 황반부종이 있을 때 스테로이드 주사를 놓는 모습
그 외 당뇨망막증에서 황반부종이 있을 때 유리체내로 또는 눈 뒤쪽으로 스테로이드 주사를 하거나, 레이저 치료에 잘 반응하지 않는 신생혈관과 황반부종이 있을 때 습성 황반변성의 치료에 사용되는 항체주사를 사용하기도 합니다.
-
당뇨병 환자가 당뇨로 진단을 받으면, 내과의사, 안과의사, 환자가 삼위일체가 되어 일생동안 최선의 시력을 유지하고, 보다 나은 생을 영위하도록 최선의 노력을 하여야 합니다. 그러기 위해서는 당뇨병을 너무 쉽게 생각하여 상식적인 요법에만 의지하지 말고, 반드시 초기부터 정기적인 검사와 처치를 받아야 하며, 의사의 지시를 따르는 것에 게을리하지 말아야 합니다.
시기를 놓치면 그만큼 치료가 힘들고, 시력회복이나 시력유지에 실패하게 됩니다. 망막병증의 진행에 따라 적기에 필요한 치료를 받아 시력보호에 만전을 기해야 합니다.
- 망막병증은 한 번 발생하면 혈당치가 정상으로 유지되더라도 회복되는 것이 아니라, 자체적으로 계속 진행됩니다.
- 혈당치의 심한 정도와도 관계가 있으나, 오히려 당뇨병을 얼마나 오래 앓고 있었는가에 따라 망막병증의 발생률이 결정됩니다.
- 초기에 적절히 치료하면 시력을 유지하는 기간이 길어지지만 증식성 망막병증까지 진행되면 시력유지는 힘듭니다.
- 당뇨망막증의 치료법으로 현재까지 공인된 것은 레이저 광응고술이며, 내과적인 치료는 혈당조절에 필요한 치료입니다.
- 아직까지 망막병증에 대한 민간요법이나 식이요법은 인정되지 않고 있습니다.
- 당뇨병과 그 합병증은 치료되는 병이 아니고, 일생동안 조절하는 병이라는 것을 인식하고, 인내심을 갖고 임해야 합니다.
- 고혈압, 흡연 등이 당뇨망막증을 악화시킬 수 있습니다.
- 증식성 당뇨망막증이 있는 환자에서 과격한 운동이나 눈에 대한 사소한 충격으로도 반복적 유리체 출혈을 일으킬 수 있습니다.
- 레이저 광응고술과 유리체절제술 이외에 공인된 치료법은 아직 없습니다.
- 당뇨병의 조기발견이 시력상실의 위험성을 저하시킬 수 있습니다.
-
-
대학병원급에서 사용하고 있는 세계 최고의 레이저 장비업체인 Leica사의 레이저 장비를 보유하여 망막환자들의 진료와 치료에 최선을 다하고 있습니다.
- 1. 당뇨가 있으면, 얼마에 한 번씩 안과검진을 해야 하나요?
-
모든 당뇨병 환자는 1년에 한 번 안과 검사를 시행해야 합니다. 당뇨망막증으로 진단이 되면, 심한 정도에 따라서 2개월에서 6개월의 간격으로 검사를 하게 됩니다.
- 2. 혈당조절을 잘 하면 당뇨망막증을 늦출 수 있나요?
-
최근의 보고에 의하면 혈당 조절을 통해 당뇨망막증의 발생을 어느 정도 늦출 수 있다고 합니다. 그러므로, 대부분의 당뇨병 환자는 자신의 혈당을 정상범위 안에서 잘 관리함으로서 당뇨망막증의 위험으로부터 벗어날 수 있습니다. 그러나, 혈당조절이 잘 이뤄짐에도 불구하고, 당뇨망막증이 진행되는 경우가 종종 있습니다.
- 3. 당뇨망막증이 있으면 백내장 수술을 못하나요?
-
백내장이 있으면 당뇨망막증의 관찰 및 치료가 힘들 수 있으므로, 백내장 수술을 시행해야 합니다. 수술을 위해서 혈당조절이 엄격히 이뤄져야 하며, 수술 후 시력은 당뇨망막증의 정도에 따라 다를 수 있으나, 대개는 수술 전 시력보다 호전됩니다.
- 4. 당뇨망막증으로 눈에 항체주사를 권하던데 그게 무엇인가요?
-
항체주사(아바스틴)는 원래 황반변성에 사용되는 약제이나, 당뇨망막증에서는 레이저 치료에 잘 반응하지 않는 신생혈관과 황반부종이 있을 때 사용하기도 합니다. 모든 당뇨망막증의 치료에 쓰이는 것은 아니며, 효과도 제한적입니다.
- 5. 당뇨망막증이 있는 사람이 운동을 해도 되나요?
-
증식성 당뇨망막증 환자에게서 발생하는 출혈은 수면 중에 일어나는 것으로 운동과는 관련이 없습니다. 운동으로 인해 망막출혈이 증가한다는 보고는 없으며, 오히려 운동은 혈당 조절에 효과적이라서 당뇨망막증의 발생을 억제하는데 도움이 됩니다. 따라서 운동 중 반복되는 출혈이 생기지 않는 한 적당한 운동은 권장됩니다.
- 6. 레이저 치료 후에도 시력이 떨어진다는데 사실인가요?
-
대개는 레이저 치료 후 당뇨망막증의 진행이 둔화되지만, 극히 일부에서는 레이저 치료 직후 경미한 시력 감소가 일어나기도 합니다. 또한 당뇨망막증이 많이 진행된 경우 레이저 치료의 효과가 크지 않을 가능성이 있습니다.
|